치과가 무서워서미뤄온 당신에게.다시는, 미루지 않아도 됩니다.
"마취가 안 되면, 절대 시작하지 않습니다."
서울대 출신 5인 원장이 한 분의 환자를 함께 봅니다.
다른 곳에서 안 된다고 했는데, 여기서 됐습니다.


서울대 통합치의학과 전문의
직접 보시면
더 안심됩니다.
서울365치과의 진료 환경을 영상으로 먼저 확인하세요.
숫자가 증명합니다
서울대 출신 전문의
각 분야 최고 전문의
연중무휴 진료
일요일·공휴일 모두 진료
야간까지 진료
월~목 야간 진료
구글 평점
네이버 4.85 / 만족도 98%
치과를 미뤄왔던 이유,
저희가 해결합니다.
치과가 무서워서 미뤄온 분들이, 다시는 미루지 않아도 되는 병원.
서울대 5인 원장 협진
5인의 전문의가, 한 분의 환자를 봅니다.
임플란트, 교정, 보존, 보철, 종합진료 — 각 분야 전문 원장이 하나의 케이스를 함께 논의합니다.
"담당 선생님이 다른 원장님과 직접 의논하시더라고요."
자체 기공실 보유
보철물, 외부에 맡기지 않습니다.
원내 기공실에서 직접 제작·당일 수정. 외주 대비 핏(fit)이 정밀하고, 방문 횟수가 줄어듭니다.
"보철 맞추러 두 번 올 줄 알았는데 바로 해주셨어요."
수면진료
잠깐 잠들었다 깨면, 치료가 끝나 있습니다.
의식하진정법으로, 치과 공포증이 심한 분도 편안하게 치료받으실 수 있습니다.
"10년 넘게 못 갔는데, 수면진료 덕분에 드디어 치료받았어요."
무통 마취 시스템
마취가 안 되면, 절대 시작하지 않습니다.
디지털 무통마취기로 마취 통증을 최소화하고, 충분히 마취된 것을 확인한 후에만 치료를 시작합니다.
"마취할 때부터 걱정했는데, 정말 거의 안 느껴졌어요."
365일·야간 진료
365일 문을 여는 이유가 있습니다.
일요일·공휴일 진료. 월~목 야간 21시. 점심시간 없이 연속 진료. 바쁜 분들을 위해.
"야근 끝나고 8시에 갔는데 진료해주셔서 감사했어요."
즉시로딩 (MUA)
발치 후, 바로 씹을 수 있습니다.
MUA 기술로 임플란트 식립 당일부터 기능 회복이 가능합니다. 이 없는 불편한 기간을 최소화합니다.
"수술 당일에 임시치아를 바로 해주셔서 놀랐습니다."
서울대 출신
5인 전문의
각 분야별 전문의가 협력하여 최적의 치료를 제공합니다.

박준규
대표원장
"환자가 알아들을 수 있는 쉬운 단어로 설명합니다."
- 서울대학교 치과대학 졸업
- 서울대학교 치의학대학원 우등졸업
- 보건복지부 인증 통합치의학과 전문의
- 미국 하버드대학교 치과대학 임플란트 고급과정 수료
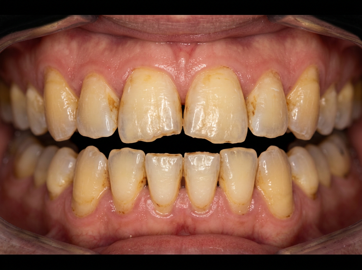
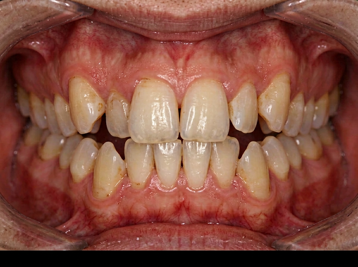
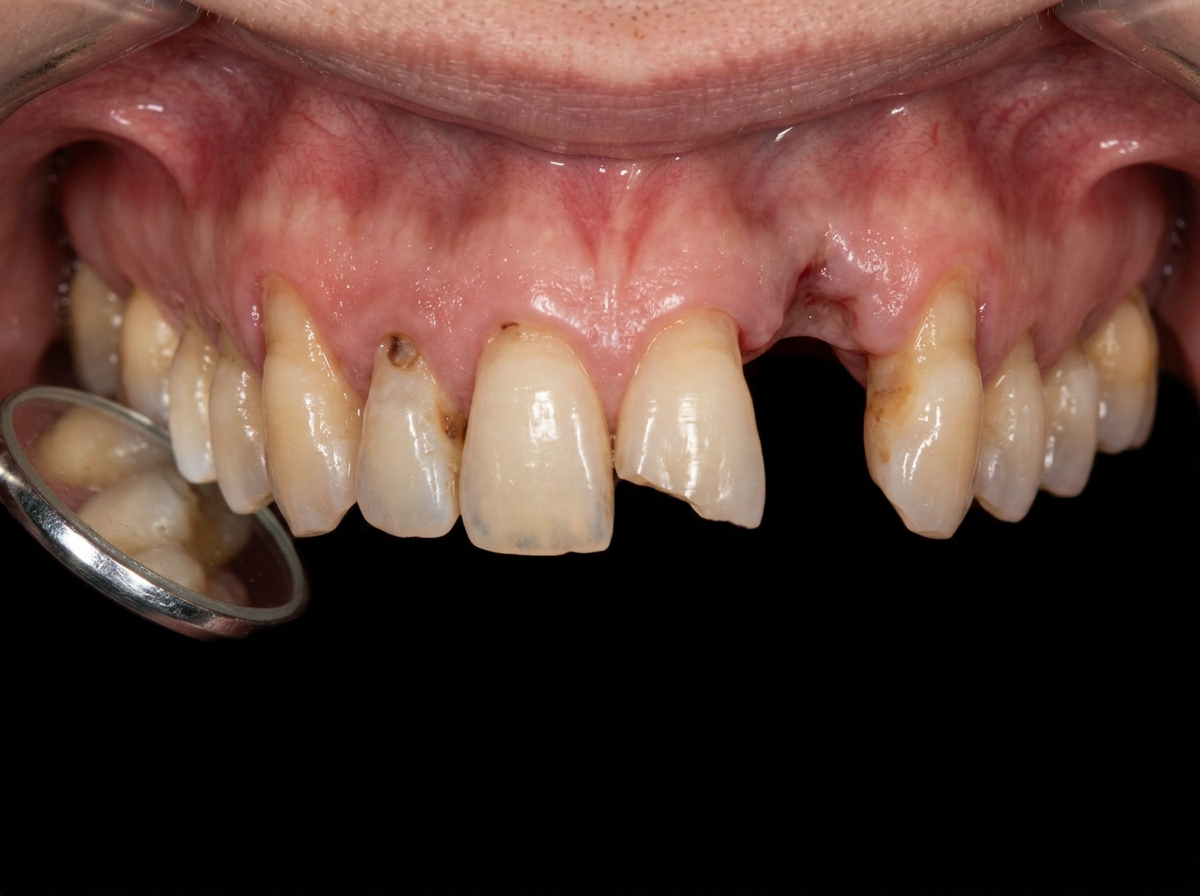
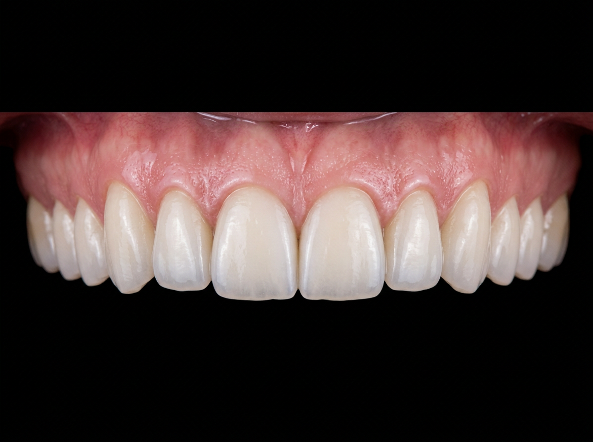
치료 사례
실제 치료 사례로 결과를 확인하세요.


라미네이트 8본 – 변색치아 심미 수복
담당: 최다빈 원장


성인 인비절라인 교정 – 돌출입 개선
담당: 하누리 원장


상악 전체임플란트 – 틀니에서 고정식 보철로
담당: 박준규 대표원장
※ 개인에 따라 치료 결과가 다를 수 있습니다. 모든 사례는 환자 동의 하에 게시되었습니다.
환자분들의 솔직한 후기
4.85
네이버
4.9
구글
98%
만족도
87%
재방문율
"스케일링부터 임플란트까지, 자세한 설명과 친절한 진료에 늘 감사드립니다. 365일 진료라 바쁜 직장인에게 최고입니다."
"전체임플란트 수술 받았습니다. 수면진료라 전혀 무섭지 않았고, 자체 기공실이 있어서 보철물 맞춤이 정말 빠르고 정확했습니다."
"인비절라인 교정 중인데, 하누리 원장님이 꼼꼼하게 체크해주시고 예상 결과를 3D로 보여주셔서 믿음이 갑니다."
"야간에 갑자기 이가 아파서 방문했는데, 21시까지 진료해주셔서 정말 다행이었습니다. 응급 대응도 빠르고 친절하셨어요."
"아이 충치 치료로 방문했는데, 소아 전문 의료진이 계셔서 아이가 전혀 무서워하지 않았어요. 정말 감사합니다."
"스케일링부터 임플란트까지, 자세한 설명과 친절한 진료에 늘 감사드립니다. 365일 진료라 바쁜 직장인에게 최고입니다."
"전체임플란트 수술 받았습니다. 수면진료라 전혀 무섭지 않았고, 자체 기공실이 있어서 보철물 맞춤이 정말 빠르고 정확했습니다."
"인비절라인 교정 중인데, 하누리 원장님이 꼼꼼하게 체크해주시고 예상 결과를 3D로 보여주셔서 믿음이 갑니다."
"야간에 갑자기 이가 아파서 방문했는데, 21시까지 진료해주셔서 정말 다행이었습니다. 응급 대응도 빠르고 친절하셨어요."
"아이 충치 치료로 방문했는데, 소아 전문 의료진이 계셔서 아이가 전혀 무서워하지 않았어요. 정말 감사합니다."
투명한 비용 안내
부담 없이 확인하세요.
| 치료 | 가격대 |
|---|---|
| 오스템 임플란트 | 84만원~ |
| 오스템+임시치아 포함 | 94만원~ |
| 스트라우만 임플란트 | 109만원 |
| All-on-4 | 550만원 |
| All-on-6 | 700만원 |
| 인비절라인 교정 | 700만원 |
| CLIPPY-C 교정 | 365만원 |
| 지르코니아 크라운 | 50~60만원 |
※ 정확한 비용은 정밀 진단 후 안내드립니다. 카드 결제 및 분할 옵션 가능.
비용 전체 보기자주 묻는 질문
서울365치과 기준 오스템 84만원(+임시치아 94만원), 오스템 프리미엄 SOI 99만원(+임시치아 109만원), 스트라우만 이벤트 109만원입니다. 이벤트 가격(최다빈/상세훈 원장) 59만원부터 가능합니다. 65세 이상은 2개까지 건강보험 적용 가능합니다.
적절한 관리 시 10년 이상 사용 가능하며, 많은 경우 20~30년 이상 유지됩니다. 정기적인 검진과 올바른 구강 위생 관리가 수명 연장의 핵심입니다.
네, 매우 안전합니다. 수면마취(의식하진정요법) 비용은 20만원이며, 서울365치과는 생체징후 실시간 모니터링 장비를 완비하고 있습니다. 수면진료 전문 교육을 이수한 의료진이 진행하며, 응급 장비와 약물도 구비되어 있습니다.
네, 서울365치과는 이름 그대로 365일 진료합니다. 일요일과 공휴일에도 14:00~18:00 진료하며, 평일 월~목은 야간 21시까지 진료합니다. 점심시간 없이 연속 진료합니다.
이토타워 건물 내 주차장을 이용하실 수 있습니다. 진료 시간에 따라 주차 지원이 가능하며, 자세한 사항은 내원 시 안내데스크에 문의해 주세요.
전문 칼럼
서울365치과가 드리는 세 가지 약속
완전 마취
마취가 되지 않으면, 절대 시작하지 않습니다.
5인 협진
서울대 출신 5인 원장이 하나의 케이스를 함께 봅니다.
당일 기공
원내 자체 기공실에서 보철물을 당일 조정합니다.
마취가 안 되면, 절대 시작하지 않는 병원.
서울대 출신 5인 원장이 모든 케이스를 함께 보는 병원.
자체 기공실에서 보철물을 당일 조정하는 병원.


